Musculoskeletal trauma is a leading cause of long-term disability globally, with bone injuries representing a major contributor to this burden. Tissue engineering has enabled the development of many biomaterials for bone repair; however, many current methods rely on living or autologous grafts. These strategies are limited by donor morbidity, biological variability, manufacturing complexity, and regulatory challenges. Developmental engineering approaches inspired by endochondral ossification, wherein cartilage serves as a transient template for bone formation, have demonstrated strong regenerative potential. Immune responses and limited scalability continue to hinder clinical translation. Decellularized, off-the-shelf cartilage grafts offer a promising alternative by eliminating living cells while preserving osteoinductive extracellular matrix (ECM) cues. Hypertrophic cartilage (HyC) engineered from an immortalized human mesenchymal stromal cell (hMSC) line constitutes a scalable platform; however, its immunogenicity, regenerative capacity, and translational relevance must be rigorously evaluated.
This study aimed to generate a fully decellularized hypertrophic cartilage graft (D-HyC) derived from an immortalized human cell line and to comprehensively assess its osteoinductive capacity, immunogenicity, and regenerative performance. The study also sought to optimize a decellularization protocol that preserves key ECM components, determine how immune responses influence ectopic and orthotopic bone formation, and evaluate whether D-HyC can effectively and safely heal critical-sized bone defects in an immunocompetent preclinical model.
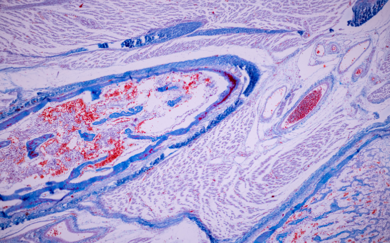
Human hypertrophic cartilage was engineered in vitro by using the MSOD-B immortalized hMSC line cultured on collagen sponges in chondrogenic conditions. Twelve decellularization protocols combining detergents, osmotic treatments, and DNase digestion were screened to identify an optimal method that maximized DNA removal while preserving ECM integrity. D-HyC and lyophilized nondecellularized (L-HyC) grafts were characterized for DNA content, glycosaminoglycans, collagens, and BMP-2 and batch-to-batch reproducibility and endotoxin levels. Biological activity was assessed in vitro by using human MSC osteogenic assays. In vivo immunogenicity and osteoinductivity were assessed by ectopic implantation in immunodeficient (ID) and immunocompetent (IC) mice with detailed immune profiling focusing on macrophage recruitment and polarization. Adaptive immune responses were examined by using Nur77-GFP reporter mice. Fully human in vitro assays were performed to evaluate macrophage polarization, T cell activation, PBMC responses, and dendritic cell maturation. The bone regenerative capacity of D-HyC was tested in an immunocompetent rat critical-sized femoral defect model by using micro-CT histology and biomechanical testing.
An optimized decellularization protocol achieved over 99.7% DNA removal while preserving total collagen and BMP-2 content, with moderate reduction in glycosaminoglycans. D-HyC production was highly reproducible, endotoxin levels met clinical standards, and grafts retained osteoinductive activity in vitro. L-HyC and D-HyC were fully remodelled by endochondral ossification in mature bone and bone marrow in ID mice. It demonstrates that decellularization did not impair regenerative capacity. Ectopic implantation in IC mice failed to induce robust bone formation, highlighting the critical influence of the immune context. Early immune profiling revealed that successful bone formation correlated with the transition from polarized.
(M0) to pro-regenerative (M2) macrophages. Persistent M0 macrophage polarization in IC mice was linked with graft failure. Adaptive immune analysis showed T cell receptor engagement but limited CD8⁺ T cell recruitment, comparable to that observed with clinically used collagen scaffolds. L-HyC and D-HyC exhibited low immunogenicity, which failed to activate T cells or PBMCs and impaired dendritic cell maturation in fully human in vitro. It indicates intrinsic immunoregulatory properties of cartilage ECM. D-HyC induced rapid, consistent, and complete bone regeneration, which achieved full defect bridging in all animals by 12 weeks with restoration of trabecular structure, marrow cavity, and substantial mechanical strength.
This study demonstrates that decellularized hypertrophic cartilage engineered from an immortalized human cell line is a potent, scalable, and immunologically well-tolerated bone graft substitute. D-HyC preserves key osteoinductive ECM signals capable of driving endochondral ossification and complete bone regeneration without the need for living cells or exogenous growth factors. While ectopic models in immunocompetent animals highlight the limitations of current preclinical systems for assessing human graft immunogenicity, complementary human in vitro assays reveal low adaptive immune activation and immunosuppressive features. The robust healing observed in an orthotopic, immunocompetent rat model underscores the strong translational potential of D-HyC as an off-the-shelf alternative to autografts and high-dose BMP-2 therapies. This work supports the feasibility of cell line–derived, decellularized human cartilage grafts for bone repair and highlights the need for improved regulatory frameworks and predictive models to accelerate clinical translation.
References: Garcia Garcia A, Prithiviraj S, Raina DB, et al. Engineered and decellularized human cartilage graft exhibits intrinsic immunosuppressive properties and full skeletal repair capacity. Proc Natl Acad Sci U S A. 2026;123(2):e2507185123. doi:10.1073/pnas.2507185123






