In the presented scenario, the patient is exhibiting the signs of laryngospasm, suggesting a risk of airway compromise. Immediate intubation may be warranted to secure the airway, especially considering the potential for respiratory distress or compromise associated with ketamine toxicity.
Ketamine is a structural analog of the dissociative anesthetic and recreational drug phencyclidine (PCP). Similar to phencyclidine, ketamine causes analgesia and amnesia without the cardiovascular and respiratory depression associated with common anesthetics. As a drug that stimulates the sympathetic nervous system, tachycardia, and hypertension are common with ketamine use, which masks its direct cardiac depressant effects as observed in this patient.
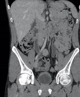
A contrast CT reveals bladder and ureteric wall thickening accompanied by hydroureteronephrosis. Ketamine usage can induce a painful, contracted, and fibrotic bladder, consequently reducing compliance, escalating end-fill pressures, and, in certain cases, resulting in hydronephrosis. Monitoring includes the patient’s airway, breathing, and circulation, as ketamine can potentially cause cardiopulmonary compromise, especially when taken in combination with other drugs. Patients who have recently ingested PCP orally may benefit from gastrointestinal decontamination. Activated charcoal is effective in adsorbing PCP and enhancing its nonrenal clearance. However, due to the potential for rapid changes in mental status, the use of ipecac syrup and GI lavage is not recommended for decontamination. Activated charcoal is typically given in a dose of 1 g/kg, with a maximum oral dose of 50 g. However, activated charcoal should be avoided in patients with unprotected airways or absent bowel sounds. Administration of activated charcoal within a sufficiently brief amount of time may prevent the need for gastric lavage. Hemoperfusion and dialysis tend to be ineffective due to ketamine’s large volume of distribution.
Ketamine is characterized by its dissociative properties. The sensations induced by ketamine are contingent on dosage, varying from a pleasant sensation of floating in a vibrant and surreal “K-land” to a frightening sensation of complete sensory disconnection akin to near-death or out-of-body experiences. Anxiety and agitation can be addressed by minimizing external stimuli such as noise, light, and touch. Benzodiazepines are the primary agents for managing anxiety, with high doses often necessary for severely agitated patients. Additionally, benzodiazepines can reduce the occurrence of vivid dreams. For management of hyperthermia, aggressive mechanical cooling is implemented.


