
Both our subscription plans include Free CME/CPD AMA PRA Category 1 credits.

On course completion, you will receive a full-sized presentation quality digital certificate.
A dynamic medical simulation platform designed to train healthcare professionals and students to effectively run code situations through an immersive hands-on experience in a live, interactive 3D environment.

When you have your licenses, certificates and CMEs in one place, it's easier to track your career growth. You can easily share these with hospitals as well, using your medtigo app.
34 Responses
This explanations is very impressive.
Thanks
I need to learn about medication, not a chemist, but focus on how we can describe the diseases…
Good to see and read to learn the different cases…
It will improve my diagnosis abilities.
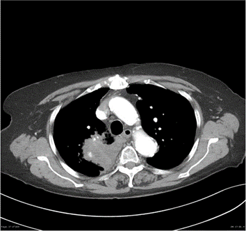
Small cell lung cancer.
Most informative…..Good case
Very informative case. Thank you
Very very educative . Appreciate it
Very informative case.. Thank you
Thank you, Dr. Rupashi, for a nice case. Keep it up!
an informative scenario and explanation, good work
I very much appreciate the program. Thanks very much.
Very nice presentation and learning procedure. Happy to learn something about Small cell carcinoma of the lung.
This app is very enlightening and informative. It is a very helpful app.
Awesome,,,learning day by day
Had thought of chronic obstructive disease COPD,
???Heart failure.
Good topic.I’m learning.
Good case
very interesting,thanks
Good and interesting
Thank you , keep me posted.
Interesting. Thank you for the knowledge impact
very interesting case
Interesting
Interesting. Very instructive
I Hope that this will contribute on updating our skills and knowledge. I expect to learn alot from this
The same narrative case for learning purposes. It explains more of the patient’s clinical signs and symptoms. Definitely, it would be better for medical students with ongoing university studies to enrich their knowledge and skills in medicine.
V. Interesting, but need to make it more interesting if there is the answer with medication and diagnosis,
Interesting
Very interesting and a great knowledge improvement material
Very informatics
Nice one, very interesting
Very informative case. Thank you
Interesting… Now I will gain more knowledge about different conditions as well as diagnoses.